欢迎访问bat365在线中国官网登录入口网站,新版本上线试运行中!ENGLISH  学校主页  联系我们    
 首页  学院概况  机构设置  师资队伍  学科建设  教学工作  科学研究  重点实验室  党群工作  学生工作  人才培养  人才引进  招生就业 
新闻中心
 院系新闻 
 学术交流 
 通知公告 
院系新闻
Position: 首页 > 新闻中心 > 院系新闻 > Content
骞爱荣教授团队在老年性骨质疏松发病机制和治疗措施方面取得重要研究进展
 

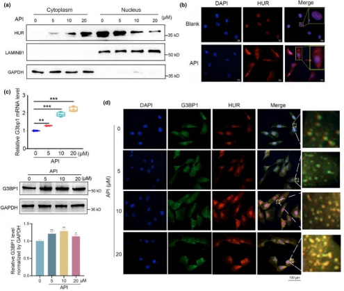
      近日,bat365在线中国官网登录入口骞爱荣教授研究团队在老年性骨质疏松发病机制和治疗措施方面取得重要研究进展。团队研究发现RNA结合蛋白HuR在成骨分化过程中能够形成无膜细胞器应激颗粒,以HuR为靶点的小分子活化剂芹菜素(Apigenin)可以促进HuR应激颗粒形成,对老年性骨质疏松具有良好的治疗效果,为老年性骨质疏松症的发病机制和治疗策略提供了新思路和新依据。相关研究成果发表于老年病学学术期刊Aging Cell(中科院1区Top,IF:7.8)上。

衰老损害成骨细胞功能和骨转换,导致年龄相关性骨退行性病变如老年性骨质疏松。应激颗粒(Stress granules, SGs)是一种无膜细胞器,可通过招募RNA结合蛋白(RBPs)来响应应激,是年龄相关性疾病的一种新的分子机制。在本研究中,我们发现HuR是一种骨相关的RBP,它在衰老过程中聚集成SGs并促进成骨。成骨细胞分化过程中,HuR阳性SG形成增加,HuR过表达挽救了衰老成骨细胞SG形成的减少。此外,HuR通过与β-catenin结合并招募其到SGs中,正向调节β-catenin的mRNA稳定性和表达。作为潜在的治疗靶点,HuR激活剂芹菜素(Apigenin, API)可增强HuR的表达和核输出,促进HuR阳性SGs的形成及其对β-catenin的募集,进而增加了β-catenin核转位,最终促进成骨细胞分化。我们的研究结果首次提出了HuR及其SGs在骨骼老化过程中促进骨生成的作用,并为治疗年龄相关骨骼疾病的新策略奠定了基础。

bat365在线中国官网登录入口博士淮莹为论文第一作者,骞爱荣教授为通讯作者、陈志浩博士为共同通讯作者。上述研究工作得到国家自然科学基金、陕西省重点研发计划、中央高校基本科研业务费等项目的支持。

文、图:淮莹;

审核:杨慧

Close Window

友情链接:
地址:西安市长安区东祥路1号  邮编:710129 联系电话:029-88430180